Bruxism or nightgrinding, is a subconscious habit of clenching or grinding your teeth. It can also happen while you are awake and unaware of it.
Bruxism (or nightgrinding), if left unchecked, can seriously ruin your teeth!
The only way to prevent damaging your teeth is to wear a rubberized mouthguard while sleeping!

Below, i will share some pictures of a patient (around his late 50s/early 60s) who is suffering from bruxism, and the negative progression of his dental condition.


The pictures above from 2011 and 2013 shows the patient's lower teeth still in satisfactory condition.


Picture from 2015 shows patient's tooth with some flattening of surfaces especially on the lower left and lower right canine tooth.
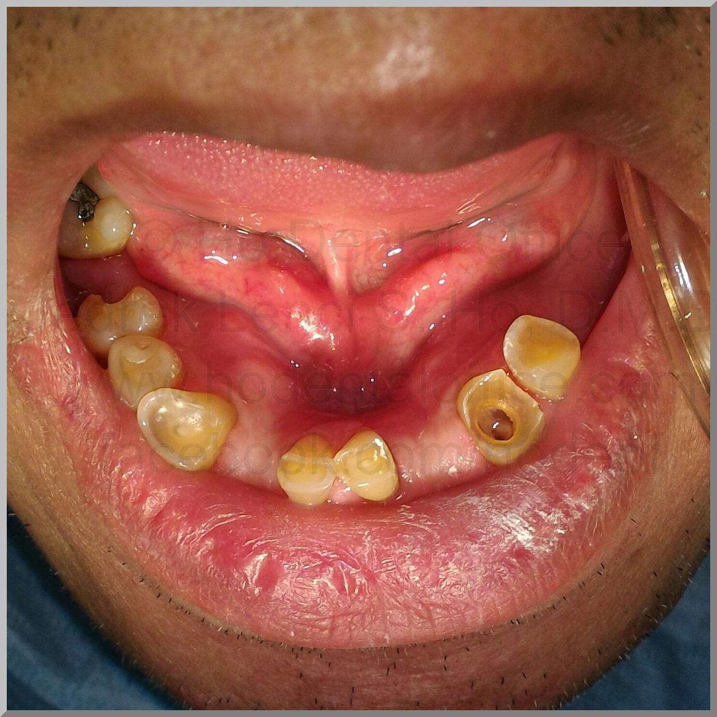
Lastly, the picture from 2017 shows the patient's lower left canine with pulp exposure, which would require root canal treatment.
I made the patient a nightguard 2013, but he said he hasn't been wearing them when i last asked him on April 2017.
Nobody really knows why bruxism happens or why it occurs at all. But what really matters is, is that the damage can be prevented.
Fortunately, mouthguards are really affordable, and yes of course we offer them!
#bruxism #nightgrinding #mouthguard #dentalattrition #dentistmanila #dentistph #binondodentist #hodentaloffice #dentist #dentistphilippines #dentistry #prevention #dentalhealth








