Gingivectomy and Gingivoplasty - excision and recontouring of gingiva (gums)
Gingivectomy is the surgical procedure to remove excessive gum tissue, while Gingivoplasty is the surgical procedure to recontour gum tissue, usually due to esthetic reasons. Both procedures are usually performed alongside each other.
Some of the most common indications for Gingivectomy and Gingivoplasty:
- gingival enlargement - may be either due to poor hygiene, irritation, or medication induced
- reduction of gum pockets - gum pockets are one of the signs of periodontal disease
- reduction or elimination of gummy smiles - the gum line is recontoured to expose more dental crown
- crown lengthening - usually performed on fractured tooth with only the root stump remaining, or on crown and bridge procedures prior to impression
For this post, you will read about gingivectomy / gingivoplasty as it applies to gingival enlargement due to irritation from orthodontic wires and braces.
Gingival enlargement case of orthodontic patient
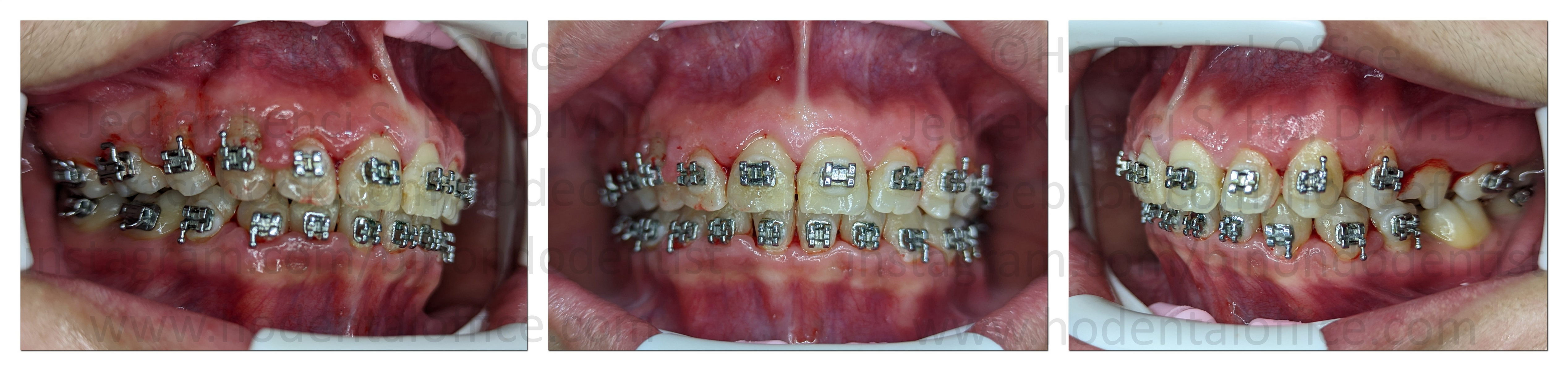
This gingival enlargement patient was being treated orthodontically when the pandemic struck. The patient missed a lot of dental appointments in the span of 2 years, and was unable to clean her teeth intensively, as a result, some of her gums grew larger due to inflammation.


The patient was next seen on July 2022. Notice that the gums grew larger and more apparent on the upper canine and incisor areas, this is due to irritation from the orthodontic wires and braces. A decision was made to perform gingivectomy using electrosurgery for her next dental appointment.

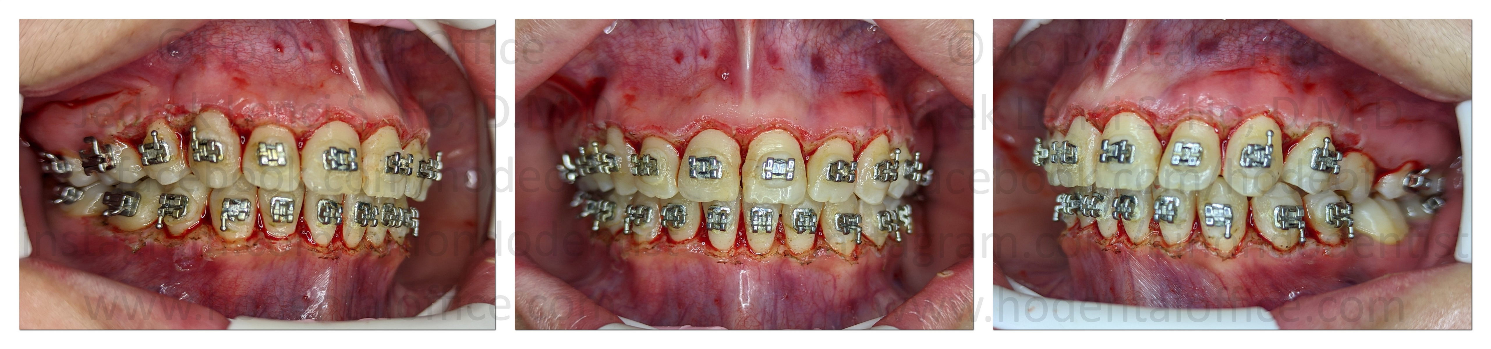
Gingivectomy with gingivoplasty was performed on the patient, under local anesthesia using an electrosurgical unit ("cautery"), on Nov 14, 2022.



As can be seen on the picture above, a lot of gum tissue was cut out. Note the larger tooth appearance on the area of the lower incisors. The borders of the gum surrounding the crowns are also contoured such that they are slightly "beveled."
Patient was dismissed after procedure. Bleeding was very minimal afterwards. Patient was prescribed with pain medication, bleeding control drug, and mouthwash.
This is the patient 3 years after her gingivectomy. The gums remain healthy and the gingival enlargement has not relapsed.

Thank you for reading!!!
For inquiries regarding this or any other dental procedures, please feel free to contact us!
#dentistph #dental #binondodentist #hodentaloffice #binondo #ngipin #gingivectomy #minororalsurgery #gingivoplasty #cautery #radiosurgery #crownlengthening #periodontal #periodontaldisease #periodontalsurgery #orthodontics #gumdisease #dentalbraces #dentalcare #dentalhygiene #electrosurgery







