Frenectomy is a surgical procedure to cut out a frenulum, which is a small piece of tissue that connects one part to another.
In dental cases, Frenectomy is usually performed to free the lip muscles' excessive attachment onto the gums, which may cause a diastema on the teeth surrounding the attachment.
It may also be done to release the tongue from a short or constrained muscle attachment (tongue tie), which may interfere with a person's speech.
For this post, we shall look back on an upper lip frenectomy case that caused diastema, and long term follow up results on muscle reattachment.
Patient came in for prophylaxis and orthodontic consultation on March 2017. Her chief complaint was the big gap in the middle of her two incisors.
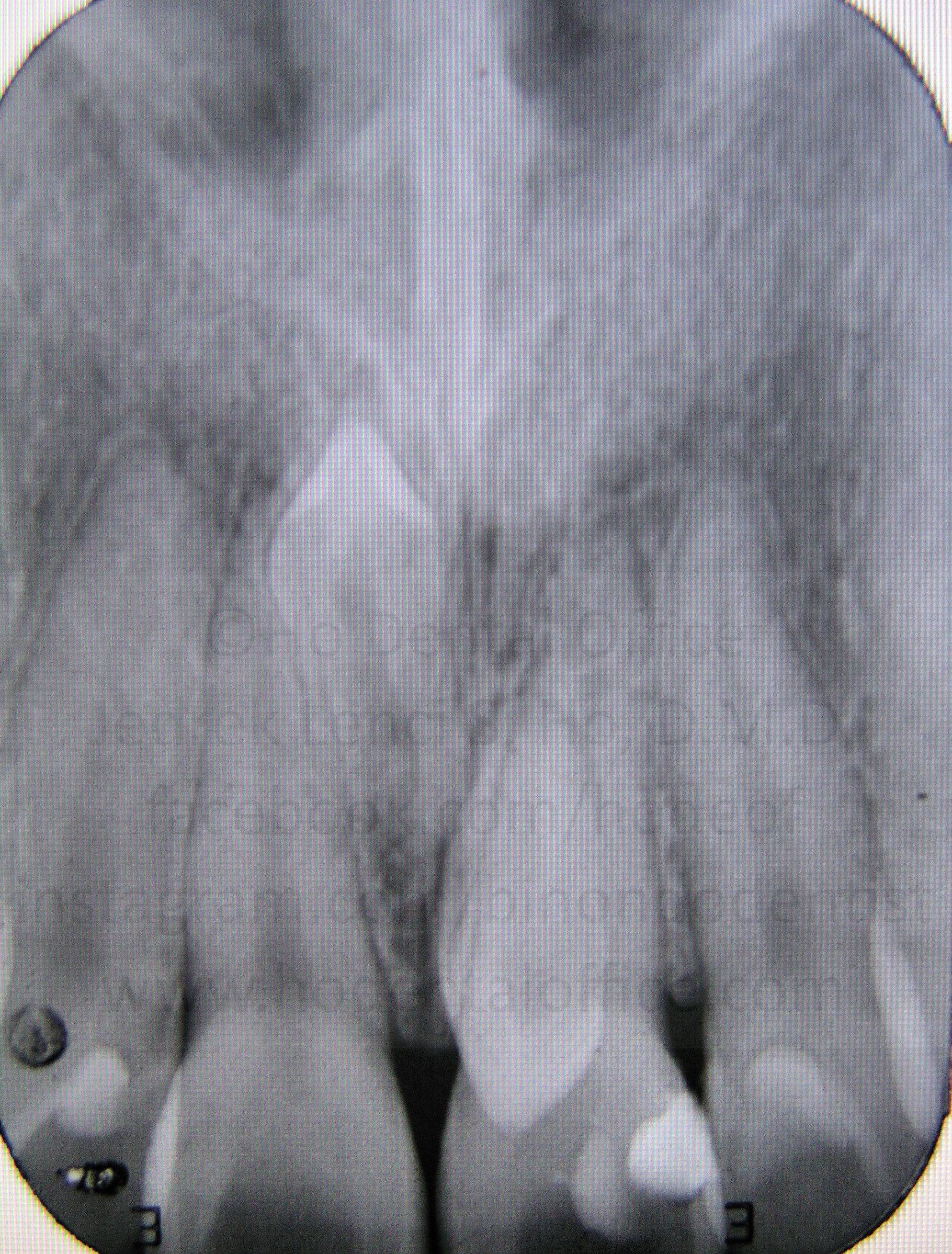
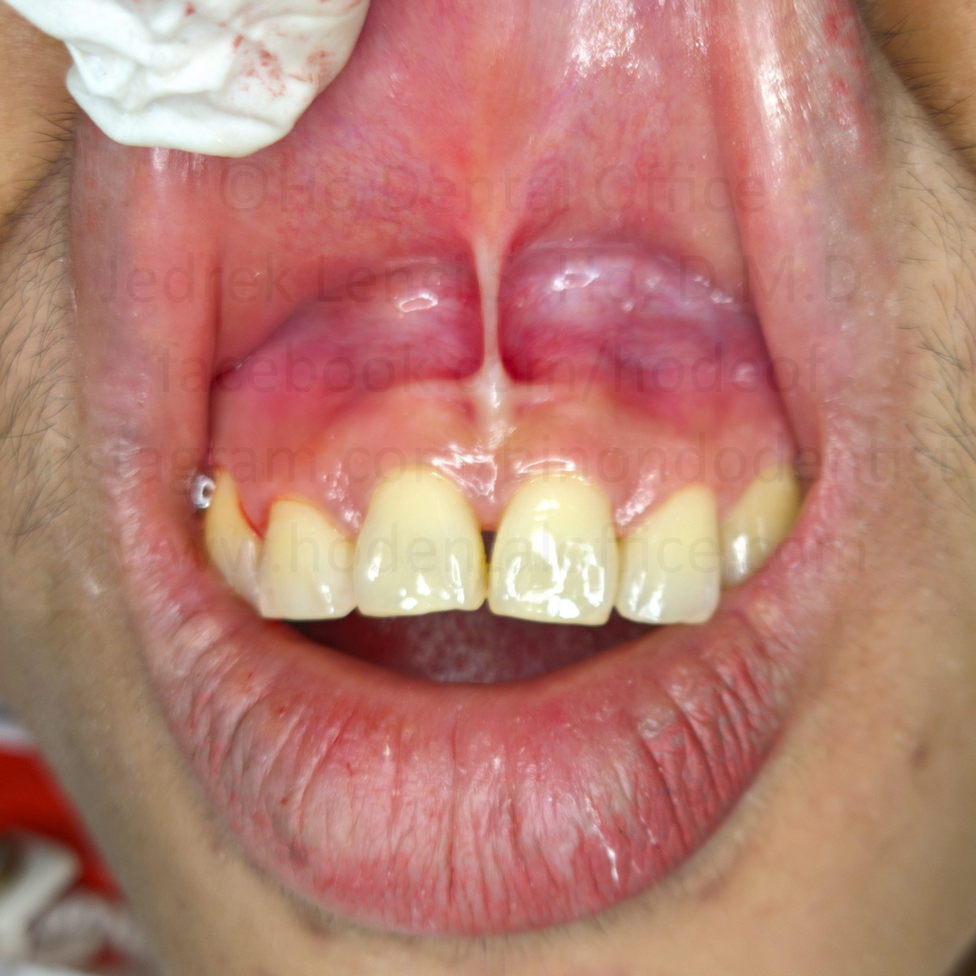
Upon observation, a very big frenum attachment is evident, with the "pull" of the muscle fibers (seen while stretching the lips) reaching all the way up to the incisive papilla on the back of the upper incisors. Patient was also checked with x-ray to ascertain presence of impacted teeth, if any.
![]() | ![]() |
X-ray results shows no signs of impacted teeth in between the two incisors. This area is common to having an impacted "mesiodens" - a supernumerary (extra) tooth - literally meaning a "tooth in the middle".

Since the cause of the diastema (big gap in the middle) was determined to be not caused by a hidden impacted tooth, it is highly likely that the strong frenum muscle attachment was the one causing it, as there have been documented cases similar to this that can be seen on dental textbooks and scientific papers.
Long story short, patient agreed to have frenectomy prior to or during her orthodontic treatment.
A few days later, patient underwent the procedure, under local anesthesia, using a scalpel. An electrosurgical unit would have been preferable, but I did not have that machine at that time. Surgical site was sutured afterwards using silk, and was removed a week later. The site healed without any issues.
![]() |
Patient begun orthodontic treatment a few months later.
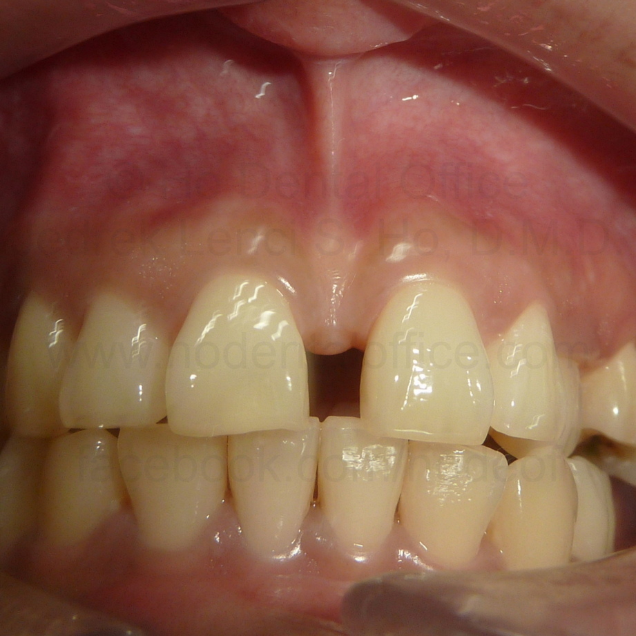
Frenum reattachment was evident by June 2017, but not to the same extent as it was before surgery.
Diastema was successfully closed a year later.
![]() | ![]() |
Patient eventually graduated from orthodontic treatment, and came in regularly for cleaning and checkups.
Due to patient's lack of compliance on wearing retainers, minor relapse was observed on the central incisors as of Nov 2025. Measurement was also done to check the height of frenum attachment, which was now a bit higher at 11mm.
![]() | ![]() |
![]() | ![]() |
Thank you for reading! If you have any questions regarding this or any other dental procedures, please feel free to message me!
- Doc Jed
#dentistph #dental #binondodentist #hodentaloffice #binondo #oralhealth #gingivectomy #minororalsurgery #gingivoplasty #frenectomy #frenum #diastema #toothgap #diastemaclosure #mesiodens #orthodontics #gumdisease #dentalbraces #dentalcare #selfcare
















