Impacted tooth are tooth that have not erupted normally in the mouth. The most common reason for it is because of a lack of space in the mouth. In most cases, they have no function in the mouth since they are out of occlusion. Therefore, it is advisable to remove them, the earlier the better, in order to avoid complications in the future.
Odontectomy is the dental procedure entailing the removal, usually with surgical intervention, of impacted tooth, usually the third molars. It is one of the most common minor oral surgical procedures in dentistry.
Some common reasons or indications to remove your impacted teeth are:
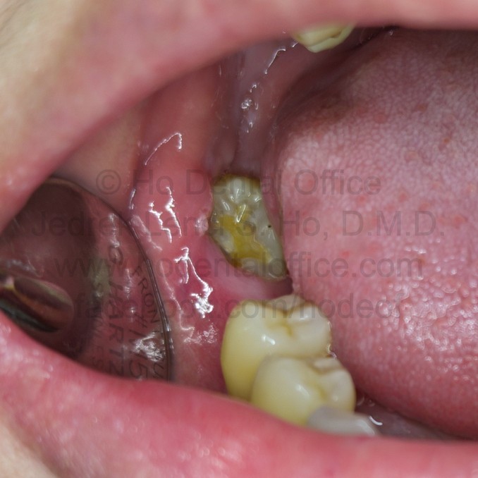
prevention of tooth decay - Food impaction is relatively common on exposed partially impacted tooth, and may damage the neighboring tooth because of cleaning difficulties.
![]() | ![]() |
| tooth decay on the lower second molar, beside the impacted wisdom tooth | |
- prevention of pericoronitis - Inflammation on the operculum (a movable piece of gum tissue partially covering an impacted tooth). For fully erupted and upright third molars or other tooth, an operculectomy may be needed if the operculum is still present long after the tooth has fully erupted, you can read more details in the linked blog post.
![]() | ![]() |
| an operculum partially covering a third molar | |
- prevention of periodontal disease - Periodontal pockets may develop from frequent food impaction. This may lead to further gingival attachment loosening ("flabby gums") which will again lead to more food impaction. As periodontal disease progress, it will eventually erode healthy bone and loosen tooth.
![]() |
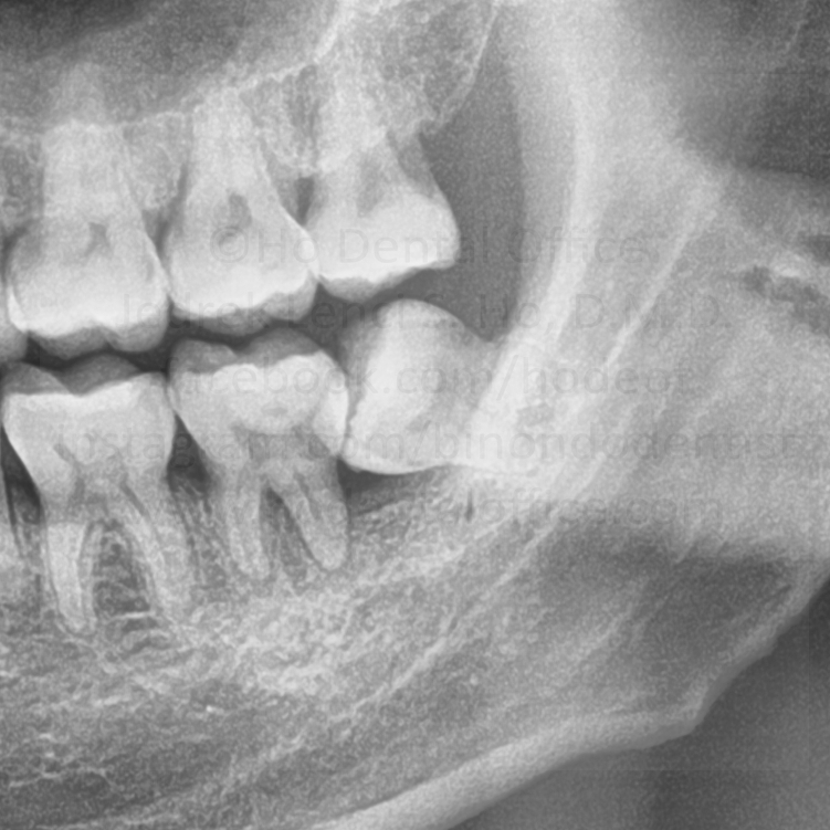
- prevention of bone loss - When impacted third molars (wisdom teeth) are taken out before they fully mature, chances are, the bone level behind the second molar will be higher. As the third molar fully matures, it also takes up more space thus resorbing more bone behind the second molar. Younger patients also have better healing than older patients, and so when the fully matured third molar is extracted from an older patient, there is a higher chance that the bone level behind the second molar is suboptimal, which may cause the second molar to be more wobbly because of poor bone support.
![]() | ![]() | ![]() |
| bone loss due to presence of third molars, note the bone level of the second molar on the side facing the third molar is already on the level of the second molar's roots | ||
- prevention of dental crowding - Third molars that are allowed to erupt, especially after orthodontic treatment, may influence relapse (uncontrolled tooth movement after orthodontic treatment).
![]() |
![]() |
- prevention of odontogenic cysts and tumors - The same tissue bundle that grows tooth have a tendency to undergo cystic degeneration and may form a dentigerous cyst (a cyst of dental origin). Regular dental checkups with x-rays especially during the teenage years are crucial to monitor such normal or abnormal growths.
![]() |
![]() |
![]() |
- prevention of premature contacts - A partially erupted impacted third molar, usually the lower, may inadvertently "raise" or make your bite higher due to its positioning. This may affect your bite and might also cause some jaw pain.
![]() |
![]() |
- prevention of idiopathic pain - "Idiopathic," or pain coming from an "unknown source", may arise from an impacted third molar even if there is no clear evidence of decay or pathology on the x-ray.
- prevention of difficult third molar extraction - Immature impacted third molars are easier to remove than fully grown ones! Third molars usually come out almost fully matured by the age of 18. Extracting it prior to that age would be easier since the tooth hasn't fully formed yet. Furthermore, the position of the third molar might transform to a more difficult position for extraction as the tooth matures and the patient ages.
![]() |
![]() |
![]() |
Thanks for reading.
A regular dental checkup at least once a year helps prevents bigger problems!
Save your money, prevention is key!
-Doc Jed
#odontectomy #wisdomtooth #wisdomteeth #wisdomtoothextraction #wisdomtoothremoval #impactedwisdomtooth #impactedtooth #3rdmolar #3rdmolarsurgery #thirdmolarsurgery #thirdmolarextraction #thirdmolar #minororalsurgery #dentistph #dental #binondodentist #hodentaloffice #binondo #selfcare


























